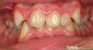
空間維持器,現在空間保留住了,可是前面看起
來還是有點亂,是不是該做固定式矯正了?

其實空間若有維持住,前牙有點亂,可以耐住性子再觀察
看看,因為牙齒長出來大小不會隨年齡增加變大,但是骨
頭會隨年齡增加變大,也許到時候就不會那麼亂了,小學
3~4年級是所謂的醜小鴨時期,就是混和齒列期,這時候
即使做了固定式矯正,等到12歲第二大臼齒跟18歲智齒
長出來後,因為推擠的關係,還會有變化,所以可以稍安勿
躁,耐心等12歲大牙長出完整齒列之後,再做整體評估看
怎樣最適合!
植牙,全瓷牙,當日完成數位化全瓷系統專科診所
一日完美 恆久不變
02 2382 2345
02 2382 2356
#雙子星牙醫診所
台北市中正區館前路26號2樓
www.gemini4u.com.tw
門診時間:
週一~週五 上午 9:00~晚上 8:30
週六 上午 9:00~ 下午 5:30
星期例假日休診
桃園分院
03 478 0808
#新芳牙醫診所
桃園市楊梅區新農街9號
沒有留言:
張貼留言