

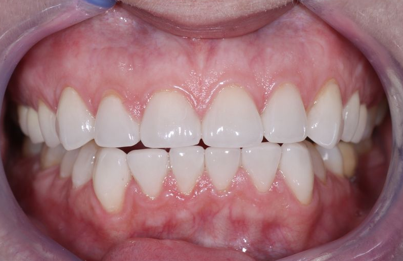
牙齒磨耗,顏色外型不佳,免煩惱,來雙子星牙醫診所,當日解決您的問題.
本院提供刷卡付費及分期繳費相關服務
更多關於牙齒的問題:
http://geminidentist.blogspot.tw/
植牙,全瓷牙,當日完成數位化全瓷系統專科診所
一日完美 恆久不變
02 2382 2345
02 2382 2356
#雙子星牙醫診所
台北市中正區館前路26號2樓
www.gemini4u.com.tw
門診時間:
週一~週五 上午 9:00~晚上 8:30
週六 上午 9:00~ 下午 5:30
星期例假日休診
桃園分院
03 478 0808
#新芳牙醫診所
桃園市楊梅區新農街9號
