雙子星牙醫診所,台北市中正區館前路26號2樓,植牙,矯正,牙齒美白專科診所. 02 2382 2345, 02 2382 2356
標籤
一般牙科
人工植牙
牙周病治療
牙齒美白
牙齒矯正
當日完成全瓷牙全瓷貼片
關於雙子星牙醫
2017年4月10日 星期一
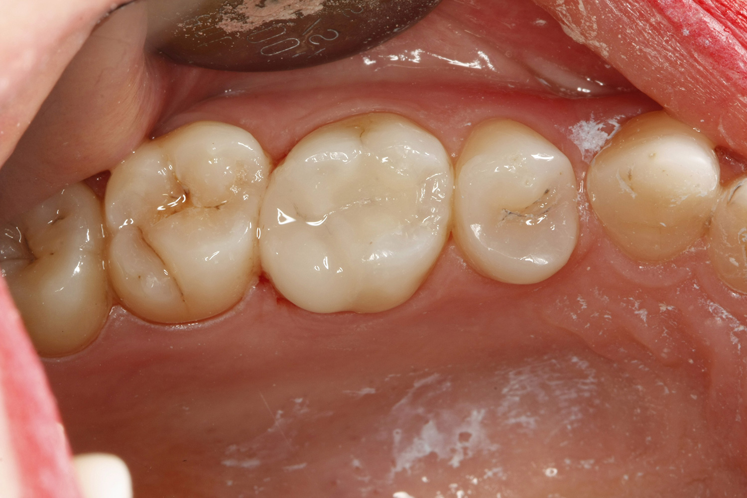
使用3D齒雕數位化全瓷系統取代傳統補牙方式
常見的大型填補物崩壞(銀粉,樹脂),因為強度無法達到咬合的要求,改用電腦設計的3D齒雕全瓷嵌體鑲補,不但邊緣密合度高,咬合力與真牙相同,而且美觀,僅需1小時即可完成.
更多關於牙齒的問題:
http://geminidentist.blogspot.tw/
植牙,全瓷牙,當日完成數位化全瓷系統專科診所
一日完美 恆久不變
02 2382 2345
02 2382 2356
#雙子星牙醫診所
台北市中正區館前路26號2樓
www.gemini4u.com.tw
門診時間:
週一~週五 上午 9:00~晚上 8:30
週六 上午 9:00~ 下午 5:30
星期例假日休診
桃園分院
03 478 0808
#新芳牙醫診所
桃園市楊梅區新農街9號
2017年4月9日 星期日
人工植牙-雙子星牙醫
人工植牙步驟簡單快速,疼痛感低,咬合力接近真牙,術後副作用少,是缺牙膺復最好的選擇,
#
雙子星牙醫診所
以合理的價格,最好的品質,提供您植牙最好的服務.
更多關於牙齒的問題:
http://geminidentist.blogspot.tw/
植牙,全瓷牙,當日完成數位化全瓷系統專科診所
一日完美 恆久不變
02 2382 2345
02 2382 2356
#雙子星牙醫診所
台北市中正區館前路26號2樓
www.gemini4u.com.tw
門診時間:
週一~週五 上午 9:00~晚上 8:30
週六 上午 9:00~ 下午 5:30
星期例假日休診
桃園分院
03 478 0808
#新芳牙醫診所
桃園市楊梅區新農街9號
較新的文章
較舊的文章
首頁
訂閱:
意見 (Atom)