


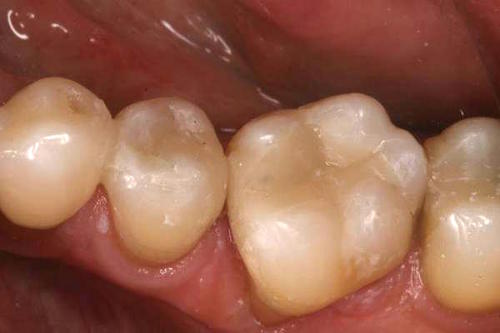
過去幾十年來,台灣普遍使用的銀粉補牙,最近都開始有邊緣二度蛀牙,崩裂等情況發生,使用3D齒雕全瓷嵌體替換,硬度高,邊緣密合,是最佳選擇!
植牙,全瓷牙,當日完成數位化全瓷系統專科診所
一日完美 恆久不變
植牙,全瓷牙,當日完成數位化全瓷系統專科診所
一日完美 恆久不變
02 2382 2345
02 2382 2356
#雙子星牙醫診所
台北市中正區館前路26號2樓
www.gemini4u.com.tw
門診時間:
週一~週五 上午 9:00~晚上 8:30
週六 上午 9:00~ 下午 5:30
星期例假日休診
02 2382 2356
#雙子星牙醫診所
台北市中正區館前路26號2樓
www.gemini4u.com.tw
門診時間:
週一~週五 上午 9:00~晚上 8:30
週六 上午 9:00~ 下午 5:30
星期例假日休診
沒有留言:
張貼留言