
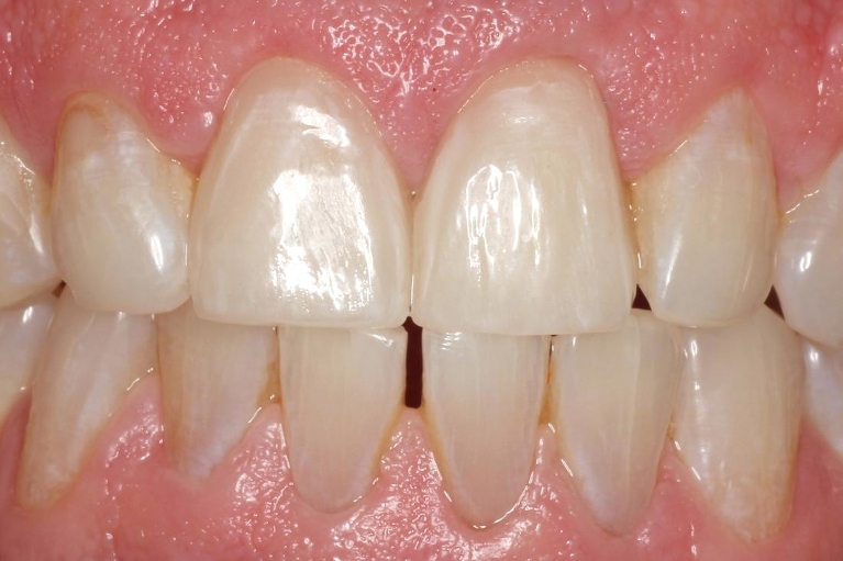
隨著數位化與3D技術的進步,人工植牙已經可以達到術前就可以完全掌握術後狀況的地步,不管是3D電腦斷層,導航式手術導引版,結合數位化全瓷牙系統事先假牙規劃,都讓人工植牙變得更安全,更實用.
更多關於牙齒的問題:
http://geminidentist.blogspot.tw/
植牙,全瓷牙,當日完成數位化全瓷系統專科診所
一日完美 恆久不變
02 2382 2345
02 2382 2356
#雙子星牙醫診所
台北市中正區館前路26號2樓
門診時間:
週一~週五 上午 9:00~晚上 8:30
週六 上午 9:00~ 下午 5:30
星期例假日休診
桃園分院
03 478 0808
#新芳牙醫診所
桃園市楊梅區新農街9號
更多關於牙齒的問題:
http://geminidentist.blogspot.tw/
植牙,全瓷牙,當日完成數位化全瓷系統專科診所
一日完美 恆久不變
02 2382 2345
02 2382 2356
#雙子星牙醫診所
台北市中正區館前路26號2樓
門診時間:
週一~週五 上午 9:00~晚上 8:30
週六 上午 9:00~ 下午 5:30
星期例假日休診
桃園分院
03 478 0808
#新芳牙醫診所
桃園市楊梅區新農街9號

















